|
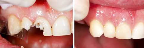
Eine Versorgung mit Teilkronen oder Kronen kann erforderlich sein, wenn die Zahnsubstanz stark geschädigt ist oder eine Wurzelbehandlung durchgeführt wurde. In diesen Fällen versiegelt die Krone den betroffenen Zahn vollständig und schützt ihn so vor weiteren Schäden. Darüber hinaus können auch ästhetische Gründe eine Rolle spielen, beispielsweise um einem abgebrochenen Zahn in Form und Farbe sein ursprüngliches Erscheinungsbild wiederzugeben.

In unserer Zahnarztpraxis in München arbeiten wir daher fast ausschließlich mit Teilkronen und Kronen aus Vollkeramik. Diese erfüllen in puncto Ästhetik und Haltbarkeit höchste Ansprüche. Angefertigt werden sie in Zusammenarbeit mit unserem Zahntechniklabor Seitz – in zertifizierter Qualität und mit größter Sorgfalt.

|