|
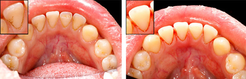
Mehrmals tägliche Pflege ist der Schlüssel zu langfristiger Zahngesundheit. Doch selbst bei bester Mundhygiene lassen sich Verfärbungen durch Tee, Kaffee, Rotwein und Tabakrauch nicht vermeiden. Zudem bilden sich gerade in den Zahnzwischenräumen und Zahnfleischtaschen bakterielle Beläge, die zu kariösen Erkrankungen, Zahnfleischbluten und Parodontose führen können.
Jährlich zwei bis vier Prophylaxetermine zum Schutz vor Karies und Parodontose
Die kritischen Stellen erreichen Sie mit der Zahnbürste nicht, auch der Einsatz von Zahnseide und Interdentalbürsten kann die Putzdefizite nicht kompensieren. Deshalb ist eine Individualprophylaxe mit professioneller Zahnreinigung unerlässlich und das A und O für dauerhaft gesunde Zähne. Je nach Mundhygiene und individueller Zahngesundheit empfehlen wir Ihnen daher pro Jahr mindestens zwei oder bis zu vier Prophylaxetermine in unserer Zahnarztpraxis in München.
Alle Vorsorgetermine werden bei uns von erfahrenen Spezialistinnen durchgeführt. Sie erklären Ihnen die einzelnen Behandlungsschritte und geben auf Wunsch individuelle Verhaltenstipps zur richtigen Zahnpflege und Ernährung.

Die wichtigsten Prophylaxe-Leistungen im Überblick
- Zahnsteinentfernung per Ultraschall und Handscaling
- Sanfte Entfernung aller Zahnbeläge
- Air-Flow-Technologie für hartnäckige Beläge
- Glättung von Füllungsrändern
- Glättung von Wurzeloberflächen
- Zahnzwischenraumreinigung
- Politur der Zähne
- Versiegelung und Fluoridierung
- Computergestützte Auswertung und Prophylaxe-Planung
- Photodynamische Lasertherapie für Paradontosepatienten

Spezialisiert ist unsere Zahnarztpraxis in München-Zentrum auf:
- Individualprophylaxe für Parodontose-Patienten
- Individualprophylaxe für Kinder
- Individualprophylaxe für Schwangere
Nie wieder Zahnschmerzen?
Das können wir Ihnen leider nicht versprechen, doch die Chancen stehen gut. Denn fester Bestandteil der regelmäßigen Individualprophylaxe ist eine abschließende ärztliche Kontrolle. Dabei erkennen wir kariöse Veränderungen und Entzündungen schon im Frühstadium und könne handeln. So ersparen Sie sich schmerzhafte Erkrankungen und größere Eingriffe, bereits bestehende Restaurationen halten deutlich länger.
|