|
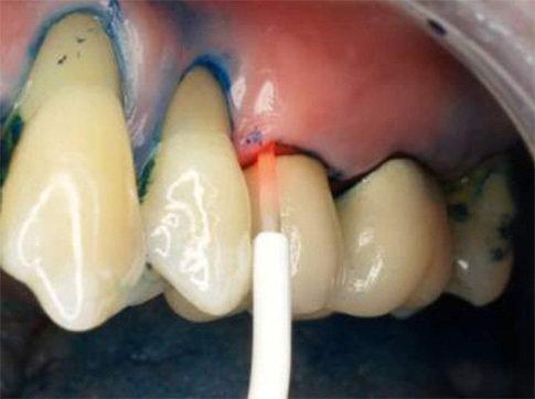
Zahnfleischbehandlungen müssen nicht schmerzhaft sein: In unserer Zahnarztpraxis in München bieten wir Ihnen mit der antimikrobiellen photodynamischen Therapie per Helix-Laser eine schonende und schmerzfreie Behandlungsmethode ohne Nebenwirkungen.
Dabei reinigen wir im ersten Schritt die Zahnfleischtaschen, um die harten und weichen Beläge zu entfernen und die Bakterienzahl zu reduzieren. Im zweiten Schritt bringen wir eine blaue Farblösung in die Zahnfleischtasche ein – einen sogenannten Photosensitizer.
Dieser Farbstoff setzt sich an der Bakterienmembran fest und reagiert auf Laserlicht einer bestimmten Wellenlänge. Trifft das Laserlicht auf den Farbstoff, bildet sich aktiver Sauerstoff, der die Membran schädigt und so die Bakterien zerstört.
Dank dieser einfachen und schnellen Therapie ist der Einsatz von Antibiotika oder chirurgischen Maßnahmen heute in einigen Fällen nicht mehr erforderlich - insbesondere bei nur vereinzelte Entzündungen.

© HELBO Medizintechnik GmbH. Mit freundlicher Unterstützung von HELBO
|