|
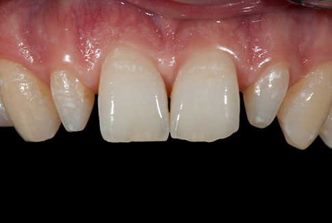
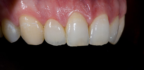
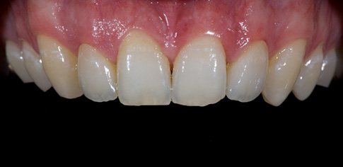
Mit Hilfe von Veneers lassen sich heute irreversible Zahnverfärbungen, Beschädigungen oder Verformungen und sogar Fehlstellungen minimalinvasiv und schmerzfrei korrigieren. Die hauchdünnen Keramikschalen werden dafür passgenau angefertigt und anschließend im Sichtbereich mit dem Zahn verklebt.

Für ein optimales Ergebnis muss der Zahn präzise vorbereitet werden. Die Zahnarztpraxis Dr. Anja Geisler ist darauf spezialisiert: Wir tragen so wenig Zahnsubstanz wie möglich ab und verarbeiten ausschließlich hochfeste Keramik-Veneers in bester Qualität. Die Schalen stimmen wir in Form und Farbe exakt auf Ihr Gebiss ab und sorgen so für ein ebenso funktionales wie ästhetisches Behandlungsergebnis.

Modernste Zahntechnik für erstklassige Ergebnisse
Möglich ist diese Präzision nur in enger Zusammenarbeit mit einem erstklassigen Zahntechniker. Deshalb arbeiten wir bei Veneers, Inlays, Kronen, Brücken und Implantaten mit dem Münchner Zahntechniklabor Seitz zusammen – ein Meisterbetrieb, der für seine hohe Qualität mehrfach ausgezeichnet ist.




|